Potvrdené: Zadržiavanie kýchnutia môže byť životu nebezpečné
Máte vypnuté reklamy
Vďaka financiám z reklamy prinášame kvalitné a objektívne informácie. Povoľte si prosím zobrazovanie reklamy na našom webe. Ďakujeme, že podporujete kvalitnú žurnalistiku.
Zdroj: BMJ
Brit trpiaci alergiou si pri šoférovaní roztrhol priedušnicu, keď sa snažil zadržať kýchnutie.
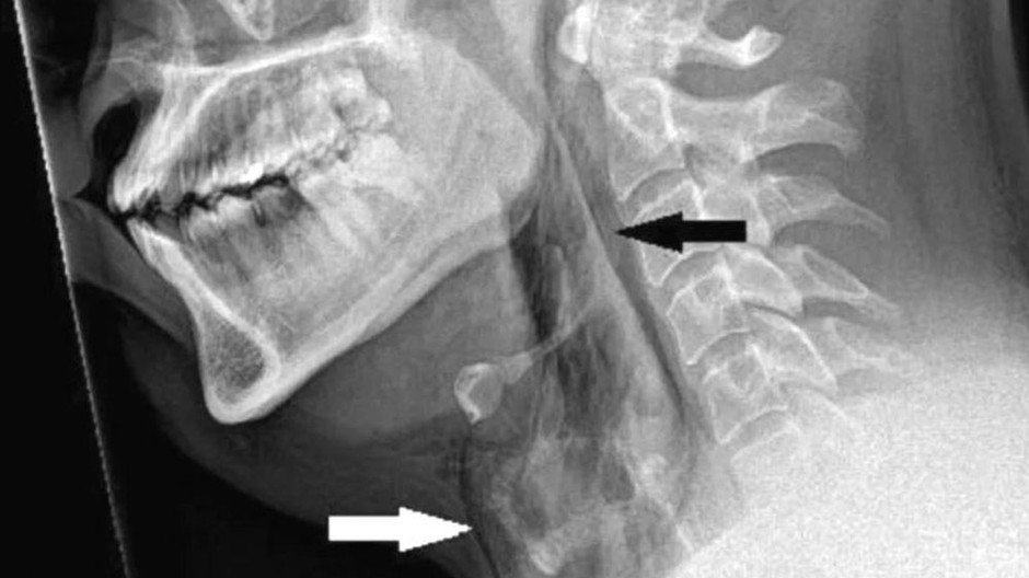
Tridsaťročný pacient bol v silných bolestiach prevezený do nemocnice Ninewells v škótskom Dundee. Testy odhalili, že utrpel 2 milimetrovú trhlinu v priedušnici, pretože si pri kýchaní držal nos a zavrel ústa, informuje BBC.
Podľa lekárov z univerzity v Dundee, ak sú ústa aj nos pri kýchaní zatvorené, tlak v horných dýchacích cestách sa môže zvýšiť približne 20-krát, čo môže viesť k poraneniam, ako je prasknutie ušného bubienka, aneuryzma alebo dokonca zlomenina rebier. Prípad zdokumentovaný v lekárskom časopise BMJ Case Reports opisuje, ako inak alergický muž, ktorý sa počas jazdy autom dusil kýchaním, nebol schopný pohnúť krkom po príchode do nemocnice, kde lekári počas vyšetrenia počuli praskavý zvuk.
Diera v priedušnici bola malá a pacient nepotreboval operáciu, ale bol ponechaný v nemocnici na pozorovanie. Po prepustení dostal lieky proti bolesti, sennej nádche a odporučili mu, aby sa dva týždne vyhýbal náročnej fyzickej aktivite. Vyšetrenie o päť týždňov neskôr ukázalo, že trhlina sa úplne zahojila.
Nemocničné testy odhalili 2 mm perforáciu v priedušnici.
BMJ
Dr. Rasads Misirovs, hlavný autor štúdie, pre BBC uviedol, že kýchanie je prirodzený obranný mechanizmus tela na odstránenie dráždivých látok z nosových prieduchov, preto by sme mu nemali brániť. Prasknutie priedušnice, medicínsky známe ako "spontánna perforácia priedušnice", môže byť život ohrozujúce, ale je pomerne zriedkavé.
Aj v Spojenom kráľovstve v roku 2018 boli lekári privolaní k ošetreniu 34-ročného muža, ktorý si pretrhol priedušnicu, keď sa snažil potlačiť silné kýchnutie. Muž uviedol, že počas kýchnutia zažil pocit "prasknutia" a potom okamžite pocítil ostrú bolesť v zadnej časti hrdla, ktorá mu sťažila prehĺtanie a hovorenie. Keď ho lekári vyšetrili, zistili opuch a citlivosť v oblasti hrdla a krku a röntgenové vyšetrenie ukázalo, že vzduch uniká z priedušnice cez trhlinu v mäkkom tkanive krku. Muž musel byť nasledujúcich sedem dní vyživovaný cez hadičku, aby sa tkanivo mohlo zahojiť, a po týždni v nemocnici sa úplne zotavil.
Hoci kýchanie by sa nemalo potláčať, lekári tiež upozorňujú, že pri kašľaní alebo kýchaní je nevyhnutné zakrývať si ústa, aby sa zabránilo šíreniu vírusov a baktérií, čo je dôležité najmä v chrípkovej sezóne.